L’implant

Un implant dentaire est une racine artificielle, placée par le chirurgien-dentiste dans l’os alvéolaire de l’un des maxillaires en remplacement de la racine d’une dent extraite, qui servira de support à une prothèse. Sa forme est généralement cylindrique ou légèrement conique, ressemblant à une vis, en titane ou en zircone, avec une connexion au niveau supérieur, à l’emplacement de la gencive, pour permettre la pose d’un élément prothétique par vissage ou scellement. Son diamètre varie entre 3 et 5 mm et sa longueur entre 8 et 15 mm. La pose d’un implant, réalisée sous anesthésie locale, est totalement indolore. Elle se pratique au cabinet dentaire ou en clinique.

Les principales indications des implants dentaires sont :
– le remplacement d’une dent unitaire. Grâce à ce procédé, il n’y a pas de mutilation des dents voisines.
– le remplacement de plusieurs dents manquantes par un bridge sur implants. Cela évite l’appareil amovible.
Le choix se fait en fonction de l’emplacement, de la quantité d’os disponible, et des éléments anatomiques environnants à partir d’examens cliniques, radiologiques et scanner de la zone à implanter.

Le chirurgien-dentiste après une anesthésie locale pratique une incision, puis il décolle la gencive pour accéder à l’os alvéolaire.

Ensuite il prépare l’emplacement de l’implant dans l’os en passant plusieurs forets de diamètre croissant. Le forage de l’os se fait à vitesse maîtrisée et lente sous irrigation, pour respecter la structure osseuse et éviter tout échauffement de celle-ci. Le praticien arrête lorsqu’il a obtenu un puits d’un diamètre très légèrement inférieur à l’implant à poser.

L’implant est placé dans l’os le plus souvent par vissage et doit avoir une liaison forte avec l’os. Le praticien replace alors la gencive et pose des points de suture.
Il faut attendre après la pose de l’implant, l’ostéo-intégration, qui peut durer plusieurs mois. L’implant va se souder complètement avec l’os et contrairement à la dent naturelle, il n’y a pas de souplesse ou de mobilité physiologique dues au ligament alvéolo-dentaire.

À l’issue de sa mise en place chirurgicale, une bague de cicatrisation en titane peut être directement vissée sur l’implant. Ainsi une seconde chirurgie ne sera pas nécessaire pour découvrir l’implant.
La technique en une seule étape chirurgicale n’est pas toujours possible, c’est à votre chirurgien-dentiste de prendre la décision.
Pour finir, une prothèse sera mise sur cet implant qui se comportera comme une racine artificielle.
Exemple d’un implant unitaire pour remplacer une dent antérieure manquante.
Exemple de 3 dents manquantes remplacées par 3 couronnes sur implants.
Pose des piliers prothétiques et des 3 couronnes scellées.
Les implants peuvent aussi servir à stabiliser un appareil amovible au maxillaire supérieur comme au maxillaire inférieur. Dans ce cas, les implants retiennent la prothèse amovible par des systèmes d’attachement.

Deux techniques sont possibles. Elles font appel à la barre de rétention ou aux boutons-pressions.

Les traitements implantaires ont des tarifs libres et ne sont pas pris en charge par l’Assurance maladie. Ils sont non remboursables. Les assurances complémentaires peuvent selon les contrats les rembourser.

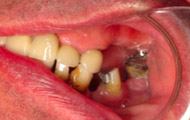
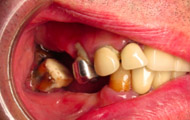
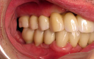
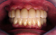
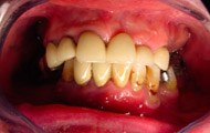
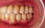
Exemple d’une réhabilitation complète implantaire

Situation clinique initiale

Situation clinique terminée
Date de mise à jour : 10/04/2015